-
根の治療痛みがある腫れてしまうインプラント根管治療
-
Before
-
After
症状 レントゲン上で根の先端にうみを確認
根っこの治療をしましたが、その時ヒビがありました。そのことをお伝えして治療を進めていましたが、歯茎の腫れ、痛みがあるとのことでCTで確認するとヒビの直線上にうみの袋、ヒビが根の先端まで到達していることが確認できました。
後ろ側の根にヒビ、前側の半分の根っこは治療が成功しています。抜歯をしてインプラントにするか、歯を半分だけ抜歯して半分だけでも残すかとの選択に、患者さんは少しでも残したいと希望されました。
治療方法 根の病気なので最初は根っこの治療をします。
マイクロスコープを使用して根の中を見るとヒビが入っていることが分かりました。
ヒビがあることお伝えして治療を進めましたが、半分の根は成功して、ヒビがある根は残せませんでした。
抜歯をするか、半分を抜歯して半分は残すかの選択を残したいと希望されましたのでヒビがある後ろ側半分を切除、抜歯しました。元々後ろの歯がなかったのでこちらにインプラントを入れます。
歯が半分になってしまうと強度が弱くなります。その負担を減らせるようにインプラントの位置取りもしっかりと精密な診査診断をして埋入し、最終的な被せ物を少し後ろ側に大きくすることによって上の歯と当たるように、噛めるようにします。
歯丸ごと抜歯じゃなくてもご自身の歯を残すことができる場合があります。精密な診査診断が必要です。費用 精密根管治療 13.2万円
ファイバーコア(土台) 3.3万円
ジルコニアCr 13.2万円
インプラント 44万
(全て税込みです)備考 全ての患者さんにできる治療ではありません。
精密な診査診断が必要です。ぜひマイクロスコープがある歯医者さんで診査診断を受けてみてください。 -
-
患者さん情報
年代 50代 性別 男性 -
治療方法

レントゲン上で根の先端に黒い影が映っています。
根の病気になっているので根っこの治療をしていきます。
ラバーダム(雑菌が入らないようにかけるゴムのシート)をかけ、マイクロスコープ(精密な治療をする為の歯科用顕微鏡)を使用して根の中を綺麗にし、根の中に問題がないか確認します。レントゲンで見える根、二股になっている右側の根にヒビが確認できました。
ヒビがあっても根の先端まで到達していなければ根管治療が成功し残せる場合もある為、患者さんに説明して根管治療を進めていくことになりました。
約3か月後、歯茎に腫れ、痛みがあるとのことでCTを撮り確認したところ、ヒビの直線上にうみの袋があり、ヒビが根の先端に到達しているのが分かりました。
レントゲン、右側の根が残せないという診断になります。ですが左側の根はうみが小さくなり、なくなってきていることから半分は根の治療が成功していることになります。ここで患者さんに1本抜歯をしてインプラントを入れるか、半分に切除して右側だけ抜歯をしてもう半分を残すか選択してもらいます。
半分でも残したいとの希望で半分に切除して右側を抜歯しました。
-

半分の歯の隣にインプラントを埋入しました。半分しかない歯は通常より強度がなくなるので負担を減らすため、インプラントを近くに埋入します。
CTを撮りインプラントの距離など精密な診査診断をしてから埋入をします。 -

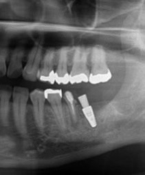
こちらが最終的な歯が入った時のレントゲンです。
歯が半分なので本来の大臼歯(奥歯)に比べて小さくします。そうすることによって根の負担を減らし、歯が折れたりしないようにします。
インプラントの被せ物は上の歯と噛み合うように少し右側に大きくなっているのが分かりますでしょうか。
上の歯としっかり嚙み合わせるように、被せ物を作ってくれる技工士さんにお願いをして被せ物が出来上がります。
このように歯を半分でも残して治療を完成させることができます。
全ての患者さんができる治療ではないのでぜひマイクロスコープがある病院で診査診断を受けてみてください。
